Hulumtimet e reja sugjerojnë se koronavirusi mund të shkatërrojë placentën dhe të dërgojë në vdekjen e fetusit.
Është një rezultat i pazakontë për çdo shtatzëni, por gratë me COVID-19 përballen me një rrezik të lartë.
Autoritetet besojnë se vaksinimi mund të ndihmojë në parandalimin e këtyre rasteve, transmeton portal arbresh.info
Studiuesit në 12 vende, përfshirë Shtetet e Bashkuara, analizuan indet e placentës dhe autopsisë nga 64 lindje të vdekura dhe katër të porsalindur që vdiqën menjëherë pas lindjes. Të gjitha rastet përfshinin gra të pavaksinuara që kishin COVID-19 gjatë shtatzënisë.
Studimi forcon provat nga rastet e vogla dhe konfirmon se dëmtimi i placentës dhe jo infeksionit i fetusit është shkaku i mundshëm i shumë lindjeve të vdekura të lidhura me Covid-19, tha Dr. Jeffery Goldstein, një patolog në Shkollën e Mjekësisë Feinberg të Universitetit Northëestern.
Ai nuk ishte i përfshirë në studimin, i cili u botua të enjten në Archives of Patology & Laboratory Medicine.
Studimet e mëparshme kanë sugjeruar se shanset për vdekjet e foshnjave para lindjes janë më të larta te gratë shtatzënë që janë prekur me Covid-19, sidomos nga varianti Delta. Rekomandimet e vaksinimit përfshijnë gratë shtatzëna dhe shënojnë rrezikun e tyre më të lartë për komplikime kur infektohen.
Autori kryesor Dr. David Schwartz, një patolog i Atlantës, tha se infeksione të tjera mund të depërtojnë në placentë dhe të shkaktojnë lindje të vdekur, zakonisht duke infektuar dhe dëmtuar fetusin. Një shembull i fundit është virusi Zika.
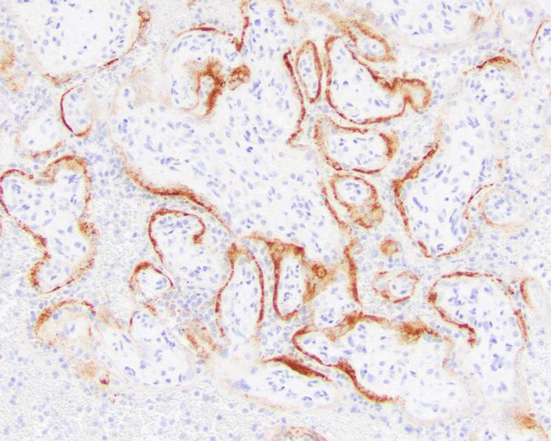
Indi normal i placentës është një nuancë e shëndetshme e kuqërremtë. Mostrat që ata studiuan ishin të ngurtë dhe me njolla të errëta. Ndërsa infeksionet e tjera ndonjëherë mund të dëmtojnë placentën, Schwartz tha se ai kurrë nuk i kishte pare një shkatërrim të tillë sikurse e kishte dëmtuar Covid-19.
Placenta është një organ që formohet dhe ngjitet në mitër gjatë shtatzënisë. Ai lidhet me kordonin e kërthizës, duke siguruar oksigjen dhe ushqim nga qarkullimi i gjakut të nënës.
Virusi ka të ngjarë të arrijë në placentë përmes qarkullimit të gjakut, duke u bashkuar me qelizat e ndjeshme dhe duke shkaktuar depozitime proteinash dhe një formë të pazakontë inflamacioni që bllokoi rrjedhën e gjakut dhe oksigjenin. Kjo nga ana tjetër çoi në vdekjen dhe mbytjen e indeve të placentës, thanë studiuesit.
Një raport i Qendrave për Kontrollin dhe Parandalimin e Sëmundjeve në SHBA, gjatë muajit nëntor ka gjetur se mes grave shtatzëna të infektuara me Covid-19, rreth 1 në 80 lindje kishte përjetuar humbjen e fetusit. Kjo krahasohet me 1 në 155 në mesin e grave të pa infektuara.
Presioni i lartë i gjakut, disa sëmundje kronike dhe anomalitë e fetusit janë ndër kushtet që mund të rrisin shanset për lindje të vdekura, duke përfshirë edhe gratë me COVID-19.
Është e paqartë nëse infeksionet me variantin Omicron rrisin shanset për vdekjen e fetusit, pasi studimi është kryer në kohën kur në botë po qarkullonte varianti Delta./Associated Press/ arbresh.info/
Hamza nga Prizreni: Qytetarët duan ndryshim, Kosova s’mund t...
Haradinaj: Malisheva në përkrahje të Aleancës
Trump thotë se është arritur marrëveshje me Iranin, pritet f...
Mbi 100 mijë studentë, sonte u mblodhën kundër Vuçiqit
Rahoveci me fitore bindëse ndaj Kastriotit, gara e titullit ...
Protestë e dhunshme në Serbi, protestuesit përleshen me poli...